不少接受免疫治疗的乳腺癌患者,尤其是使用「卡瑞利珠单抗」的患者,身上或者脸上会出现很多小红点,不小心碰破了还会出血。

▲图源:参考文献[1]
患者可能会很担忧:
这是怎么回事?需要吃什么药?
其实,这些小红点是反应性皮肤毛细血管增生症(reactive cutaneous capillary endothelial proliferation,RCCEP),是免疫治疗中常见的皮肤不良反应之一。


反应性皮肤毛细血管增生症有哪些表现?
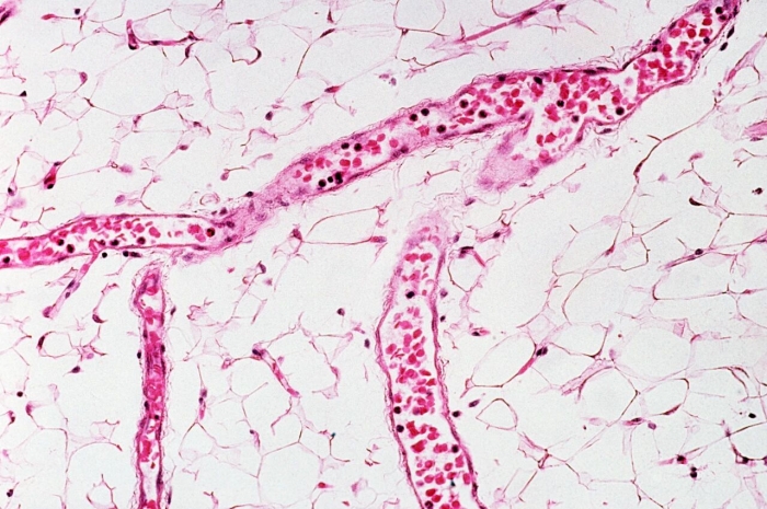
反应性皮肤毛细血管增生症是皮肤真皮层的毛细血管增多和毛细血管内皮增生,其发生的确切机制仍不清楚,可能是由于免疫检查点抑制剂打破了促血管生成因子与抑制血管生成因子的平衡所致。

▲图源:参考文献[2]
好发部位
主要发生在头面部和躯干的体表皮肤,少数在口腔黏膜、鼻黏膜、牙龈等部位。
形态特征
大致为“红痣型”“珍珠型”“桑椹型”“斑片型”“瘤样型”5种,其中以“红痣型”“珍珠型”最为多见,表面光滑,易破溃出血。

出现时间
反应性皮肤毛细血管增生症无传染性,大多在第一次用药后 2 ~ 4 周后出现,通常是直径范围 ≤ 2mm 的“小红点”,随着用药次数增加,毛细血管增生数量增加,范围也相应扩大。
但是我们也不需要过于担心,大多数皮肤结节在 3 ~ 4 个月时便不再增大、颜色变淡,停药后 1 ~ 2 个月可自行萎缩、消退或坏死脱落。


反应性毛细血管增生症的分级
《CSCO免疫检查点抑制剂相关的毒性管理指南(2023年版)》[3]将反应性皮肤毛细血管增生症分为三级

由于尚未发现 4 级或者 5 级等危及生命的反应性皮肤毛细血管增生症,因此该指南对此级别并未做明确分级。

反应性毛细血管增生症的发生率
卡瑞利珠单抗所致反应性皮肤毛细血管增生症的发生率比较高,为 78.8%,其他 PD-1 抑制剂(如纳武利尤单抗和帕博利珠单抗)所致反应性皮肤毛细血管增生症的发生率相对较低,约 2.4%。另外有研究显示,卡瑞利珠单抗联合抗血管生成药物时,可降低反应性皮肤毛细血管增生症的发生率。
在临床上,反应性皮肤毛细血管增生症大多为 1 ~ 2 级,其中 1 级为 71.1% ~ 82.2%,3 级仅为 0 ~ 4.8%。


反应性毛细血管增生症越重代表疗效越好?
目前确实有研究观察到反应性皮肤毛细血管增生症的发生与卡瑞利珠单抗的疗效密切相关。
一项“卡瑞利珠单抗治疗既往经治的晚期原发性肝癌患者的多中心II期临床研究”的数据显示[4],卡瑞利珠单抗所致反应性皮肤毛细血管增生症的患者的客观缓解率(ORR)、总生存期(OS)、无进展生存期(PFS)的治疗有效性均显著优于未发生反应性皮肤毛细血管增生症的患者,提示反应性皮肤毛细血管增生症的发生与较好疗效有一定相关性。

基于此,CSSO指南指出:反应性皮肤毛细血管增生症可以作为预测卡瑞利珠单抗单药疗效的临床指标。

出现反应性毛细血管增生症怎么处理?
反应性皮肤毛细血管增生症目前尚无有效预防方法,发生后重在观察、护理。
1若发生于皮肤表面,尽量避免抓挠,穿宽松衣物,防止磨破;较易磨破部位可以提前外用创可贴或者敷纱布预防擦破出血。若不小心磨破发生出血,可用棉签蘸少许云南白药粉末或凝血酶冻干粉压迫止血 3 ~ 5 分钟,直至出血停止。
2若发生于身体内部腔道(口腔黏膜、鼻黏膜等),应注意保持腔道卫生,去除牙菌斑、牙结石等潜在的致病因素。
3若出现单个或多个较大型结节,可能不适合保守治疗,鉴于反应性毛细血管增生症对于糖皮质激素治疗不敏感,可以考虑局部外科手术切除或激光治疗;若发生皮肤局部感染,应适当以局部外涂抗生素软膏或使用抗生素治疗。
4对于多发的反应性皮肤毛细血管增生症可以配合口服沙利度胺。一般 1 ~ 2 级的反应性皮肤毛细血管增生症可以继续使用免疫检查点抑制剂治疗,若发生 3 级的反应性皮肤毛细血管增生症,建议先暂停用药,待恢复至 ≤ 1 级后恢复给药。

总的来说,接受免疫检查点抑制剂尤其是卡瑞利珠单抗治疗的患者,反应性皮肤毛细血管增生症的发生率比较高,但我们不用过于担心,此症状一般比较轻,只需要密切观察按医嘱护理,其在停药后会消失。若出现单个或多个较大型结节,可考虑局部外科手术切除或激光治疗。
参考文献
[1] 龙方园, 何芳, 涂洁, 张致琴, 许佳丽, 尹志强. PD-1抑制剂(卡瑞利珠单抗)致反应性毛细血管增生症三例并文献复习[J]. 中国麻风皮肤病杂志, 2020, 36(4): 219-223.
[2] 张金铭, 韩冰, 崔萌纳, 梁瑜, 李晓, 仓怀芹, 全香花. 卡瑞利珠单抗致反应性毛细血管增生症的研究进展[J]. 中国医院药学杂志, 2023, 43(19): 2226-2230.
[3] 中国临床肿瘤学会(CSCO)《免疫检查点抑制剂相关的毒性管理指南(2023版)》.
[4] Wang F, et al. Reactive cutaneous capillary endothelial proliferation in advanced hepatocellular carcinoma patients treated with camrelizumab: data derived from a multicenter phase 2 trial. J Hematol Oncol. 2020 May 11;13(1):47.
[5] 张金铭, 韩冰, 崔萌纳, 梁瑜, 李晓, 仓怀芹, 全香花. 卡瑞利珠单抗致反应性毛细血管增生症的研究进展[J]. 中国医院药学杂志, 2023, 43(19): 2226-2230.
[6] 肿瘤免疫检查点抑制剂引起皮肤不良反应多学科专家共识(2025版)[J].中国临床医学,2025,32(2):1-16.
声明:本文旨在为读者分享和科普,仅供参考,如有不适症状,请及时咨询医生。
END
工作人员
作者丨林允夏子
审核丨蔡阳阳医生、尤秋婷医生
图源丨千库网
苏逢锡教授团队
标签来源:免疫治疗









